κερμα
Το ανήλικο παιδί δεν μπορούσε να αναπνεύσει

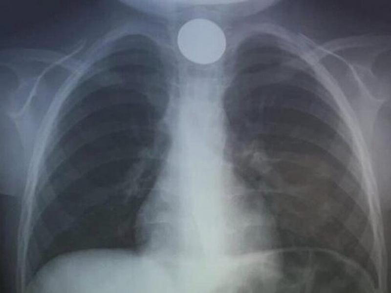
Πρωτοχρονιάτικη περιπέτεια είχε ένα 4χρονο αγόρι, καθώς κατάπιε ένα ξένο σώμα και μεταφέρθηκε στο νοσοκομείο παραμονή Πρωτοχρονιάς.

Σύμφωνα με πληροφορίες από το cretapost, το 4χρονο παιδί είχε καταπιεί ένα κέρμα και δεν μπορούσε να αναπνεύσει.

Άμεσα οδηγήθηκε στο ΠΑΓΝΗ με τους γιατρούς να προχωρούν σε επείγουσα αφαίρεση η οποία στέφθηκε με επιτυχία.

Το περιστατικό γνωστοποιήθηκε από την ΩΡΛ κλινική του νοσοκομείου μέσω ανάρτησης στα social media.

Όλες οι σημαντικές και έκτακτες ειδήσεις σήμερα

Νέο Προσκλητήριο Προσλήψεων Εκπαιδευτών Ενηλίκων: Αφορά όλα τα πτυχία ΑΕΙ-ΤΕΙ - Πιστοποιηθείτε άμεσα

ΕΥΚΟΛΕΣ πιστοποιήσεις ΙΣΠΑΝΙΚΩΝ - ΙΤΑΛΙΚΩΝ για ΑΣΕΠ για Εκπαιδευτικούς - Πάρτε τις ΑΜΕΣΑ μόρια 2ης ξένης γλώσσας

Παν.Πατρών: Tο 1ο στην Ελλάδα Πανεπιστημιακό Πιστοποιητικό ΤΕΧΝΗΤΗΣ ΝΟΗΜΟΣΥΝΗΣ για εκπαιδευτικούς

Πανεπιστήμιο Αιγαίου: Το κορυφαίο πρόγραμμα ειδικής αγωγής στην Ελλάδα - Αιτήσεις έως 14/9

Μοριοδοτούμενο σεμινάριο Ειδικής Αγωγής Πανεπιστημίου Πατρών με μόνο 60 ευρώ 

Google news logo Ακολουθήστε το Alfavita στo Google News Viber logo Ακολουθήστε το Alfavita στo Viber

σχετικά άρθρα

καφές
Ποια φάρμακα δεν πρέπει ποτέ να τα καταναλώνεις με καφέ
Eίναι σημαντικό να γνωρίζετε ποια φάρμακα δεν πρέπει να συνδυάζονται με καφέ, ώστε να αποφύγετε κινδύνους και να εξασφαλίσετε την καλύτερη δυνατή...
Ποια φάρμακα δεν πρέπει ποτέ να τα καταναλώνεις με καφέ
28h_oktovriou
«Κόβονται» οι απουσίες στη γιορτή της 28ης Οκτωβρίου – Τι ισχύει για τους μαθητές
Το Υπουργείο Παιδείας ξεκαθαρίζει πως η παρουσία των μαθητών στις εορταστικές εκδηλώσεις είναι υποχρεωτική
«Κόβονται» οι απουσίες στη γιορτή της 28ης Οκτωβρίου – Τι ισχύει για τους μαθητές